Nos soins dentaires pédiatriques

Elément graphique rond violet Dentisterie Pédiatrique Bordeaux, soins dentaires enfants Bordeaux
Elément graphique forme verte Dentisterie Pédiatrique Bordeaux, traumatologie
Elément graphique points blancs Dentisterie Pédiatrique Bordeaux, dent cassée
Pictogramme vert prévention Dentisterie Pédiatrique Bordeaux, soins dentaires enfants Bordeaux

la première séance
ou séance de prévention

Les soins dentaires au cabinet Dentisterie Pédiatrique à Bordeaux Ornano
Elément graphique points blancs Dentisterie Pédiatrique Bordeaux, dent cassée

La première séance (ou séance de prévention) est une séance globale. Elle permet une reformulation positive des expériences au cabinet dentaire, de comprendre les causes des caries ou encore une explication des anomalies dentaires de votre enfant.

Elle permet également une évaluation de la coopération de votre enfant pour vous proposer les rendez-vous de soins les plus adaptés.

La séance de prévention comprend :

  • Un enseignement des techniques d’hygiène buccale adaptées à l’âge de votre enfant, des conseils alimentaires ainsi qu’un apprentissage et découverte des instruments qui l’entoure.
  • Un détartrage et/ou déplaquage complet.
  • La mise en place de vernis pour renforcer l’émail et faire baisser les taux bactériens en bouche, si nécessaire.
  • Un dépistage des troubles de la respiration (respiration buccale, apnée du sommeil…), de la mastication, déglutition ou de l’élocution.
  • Un bilan alimentaire.
  • Un bilan radiographique si nécessaire.
  • L’élaboration d’un plan de traitement adapté à la coopération de votre enfant et rationnalisé afin de grouper les soins dans un minimum de rendez-vous possible.

Aucun soin ne sera donc réalisé au premier rendez-vous.

Cabinet Dentisterie Pédiatrique à Bordeaux Ornano, soins dentaires enfants
Elément graphique rond beige Dentisterie Pédiatrique Bordeaux, dentiste pédiatrique

La séance de prévention sera réalisée de façon systématique lors de tout premier rendez-vous à partir de 6 ans.

Puis la séance de prévention sera reconduite tous les 3, 6, 9 ou 12 mois selon le risque carieux ou l’anomalie dentaire de votre enfant et ce pendant plusieurs années afin de l’accompagner vers une santé bucco-dentaire pérenne.

Cette séance a un rôle essentiel pour limiter le nombre de carie sur le long terme. Elle s’inscrit dans une stratégie thérapeutique globale, individualisée à votre enfant.

Pictogramme vert comblements de sillons Dentisterie Pédiatrique Bordeaux, soin dentaire

Le comblements de sillons :
traitement préventif contre les caries

Elément graphique forme verte Dentisterie Pédiatrique Bordeaux, dent cassée
Elément graphique forme ronde transparente Dentisterie Pédiatrique Bordeaux, soins dentaires enfants Bordeaux
Comblement de sillons Sealant Dentisterie Pédiatrique Bordeaux, suivi dentaire enfant

Le comblement de sillons est un traitement considéré comme préventif de la maladie carieuse.

Il s’agit de combler les sillons profonds et anfractueux des premières et secondes molaires définitives avec une résine afin de diminuer l’installation des lésions carieuses dans ces zones à risque.

Retrouvez plus d’information sur :

Pictogramme vert traitement des caries Dentisterie Pédiatrique Bordeaux, dentiste pédiatrique

Le traitement
des caries

Nous réalisons le soin des caries des enfants de tous âges. Nous avons développé des techniques et des savoir-faire spécialement adaptés aux enfants qui faciliteront leur acceptation des soins dentaires.

Elément graphique points beiges Dentisterie Pédiatrique Bordeaux, soin carie
Image composite sous digue Dentisterie Pédiatrique Bordeaux, dentiste pédiatrique
Elément graphique rond violet Dentisterie Pédiatrique Bordeaux, consultation dentiste enfant
Image composite sous digue Dentisterie Pédiatrique Bordeaux, traumatologie
Image traitement des caries Dentisterie Pédiatrique Bordeaux, gestion douleur chez l’enfant dentiste
Elément graphique rond beige Dentisterie Pédiatrique Bordeaux, dentiste pédiatrique
Pictogramme vert MIH et anomalies dentaires Dentisterie Pédiatrique Bordeaux, mal aux dents enfant

MIH et autres
anomalies

Elément graphique forme verte Dentisterie Pédiatrique Bordeaux, dent cassée
Elément graphique forme ronde transparente Dentisterie Pédiatrique Bordeaux, soins dentaires enfants Bordeaux

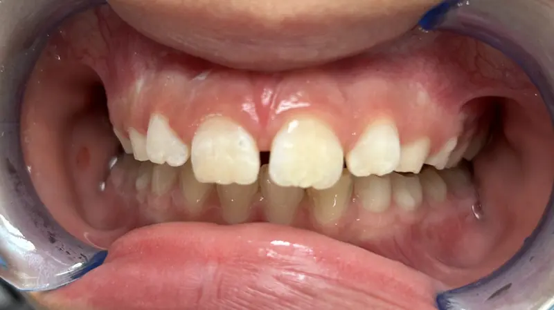
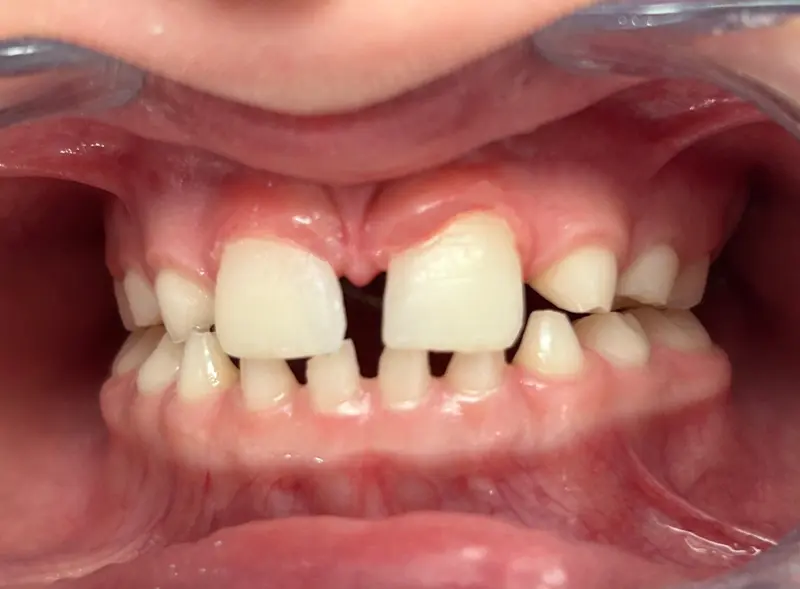
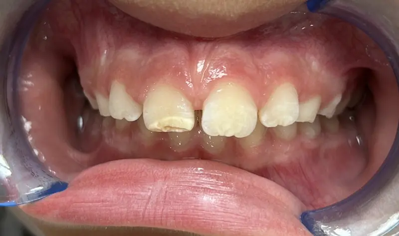
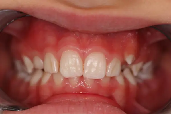
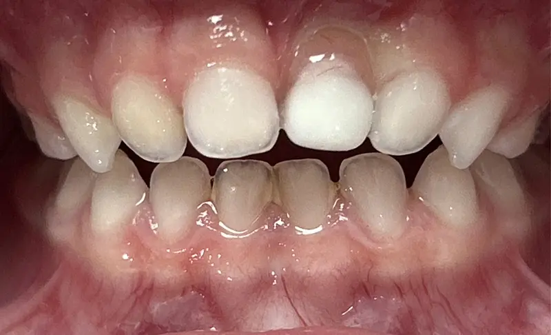
Parfois les dents sortent en bouche avec des tâches ou une couleur et/ou un aspect qui peuvent sembler bizarre ou inapproprié.

Elles sont moins esthétiques que les dents bien formées et surtout plus susceptibles aux sensibilités, à l’effritement, aux caries voire aux infections.

Quelle que soit l’anomalie de structure de la dent (MIH, HSPM, amélogénèse imparfaite, dentinogénèse imparfaite … ) nous poserons une diagnostic précis et nous mettrons en œuvre le traitement le plus adapté et le suivi préventif adapté afin de conserver le plus longtemps possible ces dents de mauvaise qualité

  • La MIH ou Hypominéralisations Molaires et Incisives se présente sous forme de tâches blanches, jaunes ou brunes sur les premières molaires et les incisives définitives.
    L’émail est plus poreux et plus friable au niveau des tâches.

En prévention, il est possible de renforcer l’émail avec des applications de vernis fluorés. 

En fonction de la sévérité de l’atteinte, différents types de soins seront proposés.

La MIH est une anomalie de plus en plus fréquente, le Dr Carat-Sarracanie avait participé à un sujet pour le journal de 20h de France 2

MIH anomalies, taches ou couleurs sur les dents par Dentisterie Pédiatrique Bordeaux, traumatologie
MIH anomalies, taches ou couleurs sur les dents par Dentisterie Pédiatrique Bordeaux, traumatologie
Elément graphique rond beige Dentisterie Pédiatrique Bordeaux, dentiste pédiatrique
Elément graphique points violets foncés Dentisterie Pédiatrique Bordeaux, soin dentaire
  • La HSPM ou Hypominéralisation des Secondes Molaires Temporaires présente des tâches identiques à la MIH mais localisées sur les canines et les secondes molaires temporaires.
Amélogénèse imparfaite antérieure Dentisterie Pédiatrique Bordeaux, gestion douleur chez l’enfant dentiste
  • L’amélogénèse imparfaite est une anomalie de la structure de l’émail des dents qui touche toutes les dents définitives et temporaires.
  • La dentinogénèse imparfaite est une anomalie de la structure de la dentine, le tissu en dessous de l’émail, qui touche toutes les dents définitives et temporaires.
Pictogramme vert prothèse pédiatrique Dentisterie Pédiatrique Bordeaux, dentiste enfant

La prothèse
pédiatrique

Elément graphique forme verte Dentisterie Pédiatrique Bordeaux, dent cassée
Elément graphique forme ronde transparente Dentisterie Pédiatrique Bordeaux, soins dentaires enfants Bordeaux
Image prothèse pédiatrique Dentisterie Pédiatrique Bordeaux, anomalie email

Lorsque la carie est arrivée à un stade très avancé, et que la dent est très délabrée, la coiffe pédodontique est scellée sur la dent existante pour la protéger et la conserver le plus longtemps possible.

Avant

Avant prothèse pédiatrique Dentisterie Pédiatrique Bordeaux, anomalie email
Après prothèse pédiatrique Dentisterie Pédiatrique Bordeaux, anomalie email

Après

Elément graphique forme verte Dentisterie Pédiatrique Bordeaux, dent cassée

Lorsque la dent de lait est trop délabrée pour être conservée, il est possible de réaliser une prothèse pédiatrique (aussi appelée mainteneur d’espace), car il faut veiller à ce que la mise en place des dents se réalise harmonieusement.

Ces prothèses sont recommandées pour plusieurs raisons :

  • Maintenir l’espace. Quand une dent est absente, les autres dents ont tendance à bouger et peuvent ainsi bloquer l’arrivée de la dent définitive.
  • Améliorer la phonation. Quand une dent est absente, la langue n’est pas bien calée pour former correctement les sons.
  • Améliorer la mastication. Quand une dent est absente, l’enfant a plus de mal à mâcher.
  • Améliorer l’esthétique. Quand une dent est absente, l’enfant est gêné pour sourire.

Lorsque la dent définitive est trop abimée, il est possible de la reconstituer avec un inlay ou un onlay voire une couronne.

Les prothèses pédiatriques ne sont actuellement pas prises en charge par l’assurance maladie.

Traumatologie

En cas de traumatisme dentaire, notre équipe prend en charge rapidement les dents temporaires ou définitives de vos enfants avec un diagnostic précis et les soins nécessaires.

Elément graphique points violets foncés Dentisterie Pédiatrique Bordeaux, soin dentaire
Pictogramme vert sédation consciente par inhalation MEOPA Dentisterie Pédiatrique Bordeaux, soins dentaires enfants Bordeaux

La sédation consciente par inhalation
MEOPA

Le MEOPA est un médicament sous forme de gaz, dont le but est de détendre votre enfant. Cela permet de créer un environnement serein pour les soins.

Image sédation consciente par inhalation MEOPA Dentisterie Pédiatrique Bordeaux, mal aux dents enfant
Elément graphique rond beige Dentisterie Pédiatrique Bordeaux, dentiste pédiatrique
Elément graphique points blancs Dentisterie Pédiatrique Bordeaux, dent cassée

Il s’agit d’un mélange à 50% d’oxygène et 50% d’Azote sous forme de gaz anesthésique. Ce mélange est respiré spontanément par l’utilisation d’un masque transparent. C’est une technique simple et utilisée couramment.

Les effets secondaires sont rares et mineurs (nausées ou vomissements), ils sont réversibles en quelques minutes dès l’arrêt de l’inhalation.

Pendant toute la période de sédation, votre enfant reste conscient et maître de ses gestes. Il sera encadré par sa praticienne et son assistante.

Le taux de succès de cette technique est bon et permet souvent d’éviter le recours à l’anesthésie générale.

Dans notre cabinet toutes les praticiennes, sont formées à l’utilisation du Meopa. Néanmoins, l’utilisation du meopa n’est pas du tout systématique et demeure très rare d’utilisation en 1ère intention. Après évaluation des besoins de votre enfant, il vous sera proposé dans certains cas précis et limités de réaliser le soin sous sédation vigile par Meopa.

La sédation vigile par MEOPA n’est actuellement pas prise en charge par l’assurance-maladie.

Pictogramme vert chirurgie dentaire Dentisterie Pédiatrique Bordeaux, consultation dentiste enfant

La chirurgie dentaire
pédiatrique

Chirurgie dentaire frein clampé Dentisterie Pédiatrique Bordeaux, dentiste pédiatrique
Elément graphique rond beige Dentisterie Pédiatrique Bordeaux, dentiste pédiatrique
Elément graphique points blancs Dentisterie Pédiatrique Bordeaux, dent cassée

Au cabinet, nous réalisons différentes chirurgies comme :

  • Extraction de dent néonatale
  • Extraction de dents temporaires et définitives
  • Freinectomie labiale
  • Extraction d’odontome simple ou inclus
  • Extraction de dents surnuméraires
  • Exérèse de kystes
Pictogramme vert traitements esthétiques Dentisterie Pédiatrique Bordeaux, anomalie email

Les traitements
esthétiques

Au cabinet, nous réalisons différents traitements
esthétiques comme les infiltrations résineuses sur
les tâches de MIH ou les composites injectés.

Avant

Image avant traitements esthétiques Dentisterie Pédiatrique Bordeaux, suivi dentaire enfant
Image après traitements esthétiques Dentisterie Pédiatrique Bordeaux, soin dentaire

Après

Avant

Photo avant traitements esthétiques Dentisterie Pédiatrique Bordeaux, soin dentaire
Photo après traitements esthétiques Dentisterie Pédiatrique Bordeaux, soin dentaire

Après

Avant

Image avant traitements esthétiques Dentisterie Pédiatrique Bordeaux, suivi dentaire enfant
Image après traitements esthétiques Dentisterie Pédiatrique Bordeaux, soin dentaire

Après

Pictogramme violet réseau Dentisterie Pédiatrique Bordeaux, urgence dentaire enfant Bordeaux

Le réseau

Les praticiennes travaillent avec un réseau de professionnels de santé qu’elles ont choisi en toute liberté afin de vous adresser au mieux si une prise en charge pluridisciplinaire est nécessaire :

Elément graphique forme verte Dentisterie Pédiatrique Bordeaux, dent cassée
Elément graphique points beiges Dentisterie Pédiatrique Bordeaux, soin carie
  • Pédiatres
  • ORL
  • Orthodontistes
  • Chirurgiens maxillo-faciaux
  • Pédopsychiatres
  • Psychologues
  • Kinésithérapeutes
  • Orthophonistes
  • RéPPOP Réseau de prévention et prise en charge de l’obésité infantile.